Кабинет редкостей Дитмара Фон Венгра открывает перед вами свои двери!
Я обещал вам явить картины страданий, я явлю вам их.
Вообразите себе иноплеменного захватчика, который одержим идеей бесконтрольного занятия территории. Он похож на вас, как две капли воды. Он говорит с вами на одном языке, выглядит как вы, но единственный смысл его существования - ваше порабощение и превращение в пищевой ресурс. Он прибывает в ваш уютный, спокойный, упорядоченный мир, и едва сойдя с поезда приступает к реализации своих целей. Ваша армия бессильна против него, общество не способно распознать угрозу, потому как у него нет документов, нет лица, нет общности. Постепенно он начинает копировать сам себя, всё больше, больше и больше, пока не заменит вас, ваших соседей и не сожрёт все, до чего сможет дотянуться.
Сегодня на нашем предметном стекле достаточно интересный случай крайне интересной опухоли, которая носит множество различных имён, точно дух зла. Наш клиент называется canine transmissible venereal tumor, CTVT; Canine transmissible venereal sarcoma, CTVS, или же венерическая трансмиссивная саркома собак.
Почему она так называется? Очень просто. Венерическая она потому, что передаётся половым путём. Вообще, онкология действительно как Люцифер, имеет множество личин, имён и причин возникновения. Если безбожно кастрировать все эти объяснения на живую, то можно придти к ключевому выводу: раковая клетка это клетка, в которой что-то сломалось, в результате чего эта клетка начала воспроизводиться в неограниченном количестве. Самому раку, кстати, от этого воспроизводства, обычно не слишком хорошо, потому как опухоль обычно растёт, а сосуды, которые её питают- нет, в результате чего клетки начинают задыхаться, и помирать, образуя очаги некроза, что позже я вам и продемонстрирую на примере других опухолей. Так вот, если ломаются клетки, отвечающие за гемопоэз, то есть за кроветворение, то кровь заполняется кучей бесполезных клеток, которые шатаются туда-сюда, точно безработные алкаши, и никакой пользы организму не приносят, замещая нормальные. Если ломаются клетки, скажем, нейроглии (той ткани, которая окружает нервные клеточки в мозгу, и должна их кормить), то прямо посреди мозга вырастает опухоль, которая давит на стенки черепа, вызывая боль и страдания. Так вот, клетки могут сходить с ума по миллиону разных причин, одна из которых- инфекционные агенты.
Вот только в случае с нашей героиней инфекционным агентом является не вирус, (который словно известно что в стихе Чернухина заходит в клетку) а сама клетка. Как такое вообще возможно? А вот так. Если честно, мы не особо знаем, но начинаем что-то подозревать.
Подозреваем мы, что в незапамятные времена в каком-то древнем койоте или волке жила была клеточка, которая сломала свою ДНК через колено, и начала бодро делиться. А дальше что-то пошло не так, потому что клетка смогла каким-то образом выжить, и не только выжить, а получить способность кочевать из организма в организм. Всего такую вундервафлю получили в своё распоряжение три опухоли, и эта - одна из них. Каким образом это произошло? Ответ простой - мы в душе не чаем. Известно, что в этой больной клетке сошлись несколько очень важных мутаций, что само по себе большая редкость.
1) Любая клетка организма имеет своё собственное "лицо", а именно так называемые МНС-молекулы, они же комплекс гистосовместимости. Это такие особые белки, которые находятся на поверхности клетки, и благодаря этим белкам наш организм понимает, что клеточки принадлежат ему. Грубо говоря, это такой паспорт клетки. Так вот, у венерической саркомы их количество снижено настолько, что паспортные данные фактически "стёрты". Нихрена себе повезло, скажете вы. Нихрена себе повезло, скажу я. Клетка просто невидима для иммунитета организма. Представьте себе картину, как зловредная клетка саркомы выходит из волшебного поезда, а злые охранники платформы её просто не замечают, ибо документов у неё нет, лица, кстати тоже нет.
2) Клетки саркомы фактически не имеют в составе стромального вещества, то есть любых оболочек. ТВС мягкая как говно, и легко растекается, буквально отрывая от себя куски себя любимой. Материал крайне хрупкий и легко рассыпается.
3) Клетка саркомы фактически сократила свой генетический код, сделав таким образом нуклеотидную цепочку крайне устойчивой к внешним воздействиям. Проще говоря- ей вообще наплевать на солнечный свет, нагревание, охлаждение или внешние факторы. Всё что ей нужно- открытые микроскопические повреждения на слизистых собаки, куда она попадает при актах псячей извращённой любви, облизывания всякого нехорошего и тому подобного.
Так вот, с тех пор эта самая клетка, подобно библейскому герою, вечно кочует между собак и других родственных видов, уже более шести тысяч лет, образуя свои уникальные популяции и геном, превратившись фактически, в специализированного паразита. Воистину, дикая природа удивительна. Кстати говоря, описали её ещё в царские времена, в 1876 году. Описал её русский ветеринарный врач Новиков, он же доказал и инфекционную природу сей заразы.
Давайте же посмотрим на нашу героиню вблизи.
Жила-была собака.
Обратите внимание: Гибрид пампасской лисицы и домашней собаки.
Собака жила на улице неизвестное количество времени, но судя по зубам, была уже достаточно взрослым метисом средних размеров. Фотографию внешней локализации опухоли прикреплять я не могу, потому как это будет неэтично по отношению к пациенту Так вот, на определённом этапе жизни, у собаки из носа полилась кровь, причём достаточно обильно. При осмотре обнаружилось новообразование, размером с крупный орех, выросшее с внутренней стороны губы, прямо на верхней челюсти, которое выглядело как собрание бубонов под слизистой оболочкой. Возникло устойчивое подозрение на разрушение (осмоляцию) тканей верхней челюсти. При этом никаких свищей или прободений в верхней челюсти не возникло.Приютский врач оказалась хорошим специалистом, и честь ей и хвала, сделала цитологический анализ. Давайте посмотрим на него вместе.

Венерическая трансмиссивная саркома собак. Окраска по Романовскому-Гимзе, Х400. Фотография из интернета.

Венерическая трансмиссивная саркома собак. Окраска по Романовскому-Гимзе, Х400. Фото легло мне на стол.
И так, чтобы понять, что описывать, необходимо вначале понять как описывать. Существует чёткий, жесткий порядок гистологического описания "Опухоли и мира вокруг неё", которому надо следовать.
1) Качество препарата. В данном пункте мы оцениваем качество исполнения самого препарата, то, каким образом выполнена окраска, дефекты изготовления, и даём ему техническую характеристику.2) Опухолевые клетки. Тут мы описываем саму структуру опухоли, сами клетки, их форму, отношения ядра к цитоплазме (наполнению клетки) и т.д.
3) Микроокружение. Подробно описывается соединительная ткань опухоли, васкуляризация (кровоснабжение) опухоли и так далее.
4) Бактерии. Описываем, есть ли микробная контаминация. Для некоторых опухолей это прям очень важно, особенно для изъязвленных.
5) Фон. Какие клетки мы видим.
Ну что! Помолясь, начнём.

Венерическая трансмиссивная саркома собак. Окраска по Романовскому-Гимзе, Х400. Фото легло мне на стол.
Клетки TVС выглядят как крупные, недифференцированные круглые, похожие (мономорфные) клетки потому, что они потеряли черты зрелой соединительной ткани (саркомы обычно являются опухолями мезенхимального происхождения, то есть развиваются из соединительной ткани ) и находятся в состоянии быстрого, агрессивного деления. Их огромные ядра с крупными ядрышками - прямое следствие высокой митотической активности и нарушений в ДНК. Отсутствие стромы (опорного каркаса) характерно для многих примитивных, высокоагрессивных опухолей, клетки которых растут «самостоятельно», не формируя сложных структур. Клетки очень отличаются по размеру, имеют неправильную форму, что чётко видно.
Нейтрофильное воспаление, которое мы видим в мазке, - это реакция организма на присутствие огромной массы чужеродных, быстро делящихся опухолевых клеток, которые в таком объёме уже кладут конец бездействию организма. Опухоль часто изъязвляется, что служит дополнительными воротами для бактерий, также привлекающих нейтрофилы (в данном случае этого нет, что странно, ибо должно быть).

Отчётливо видно нейтрофилы, кровяные иммунные тельца со сложным, узнаваемым ядром, которые приходят в воспалённые места.
Множественные вакуоли по периферии клеток (белые кружочки) - один из самых характерных цитологических признаков TVС. Считается, что вакуоли являются результатом нарушения метаболизма липидов в опухолевых клетках или следствием дистрофических изменений. Их периферическое расположение помогает отличить TVС от других круглоклеточных опухоль, таких как лимфома (клетки которой обычно имеют более гомогенную цитоплазму) или плазмоцитома.

Вакуоли в патологических клетках.
В отличие от плоскоклеточного рака, TVС не формирует кератин или межклеточные мостики, а от меланомы её легко отличить по отсутствию характерного коричневого меланинового пигмента в цитоплазме.
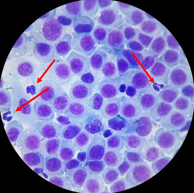
Отдельно стоит показать вот эту странного вида дрянь в клетке:

Это - митотическая фигура, которая представляет собой больные хромосомы, расходящиеся к полюсам клетки.
И так, с диагнозом определились. На этом моя работа завершена, и барон Фон Венгр закрывает свой кабинет редкостей, до следующих клинических случаев.
Однако, у вас возникнет вопрос о прогнозе для животного в данном случае. А прогноз не самый плохой. Правильно проведённая операция, назначение комплексной лучевой терапии, и медленное развитие самого заболевания (инкубационный период занимает от 7 месяцев до нескольких лет), позволят добиться устойчивой ремиссии. Отдельно стоит сделать рентген или МРТ, чтобы посмотреть, что там таки с костями черепа.
Если же это не лечить, то опухоль со временем разойдётся по крови, и вызовет очень интересную картину, при котороё собака буквально покрывается мясистыми грибовидными выростами, что твой щелкун. В таком случае сделать ничего нельзя, но тут надо постараться.
Отдельно хочется сказать своим подписчикам вот что: у людей таких опухолей нет, зато есть масса других, в том числе вызываемых вирусами, которые вполне себе передаются половым путём. Поэтому, будьте нравствены, господа, и в отношении своих домашних животных (хотя бы проверяйте собак перед вязкой, или перед злодейством каким). Аскеза ещё никого, в отличие от кабаков да баб, до цугундера не довела. Помните об этом.
Что почитать по теме?
Вот тут фотографии трансмиссивной саркомы через призму ИГХ-анализа
Вот тут научная статья
А вот мой телеграмм-канал, посвящённый патоморфологии, который я создал, поддавшись содомскому греху и дурному влиянию. Статья про саркому там тоже будет, но чуть в другом виде и позднее.
А теперь важное уточнение. Вся информация носит строго ознакомительный характер, посоветуйтесь с ветеринарным специалистом.
У меня нет ни времени, ни желания выяснять причину болезни/смерти вашего котика или собачки, а даже если бы оно у меня было - лечением животных я не занимаюсь, и без дополнительных исследований сделать ничего не смогу. Спасибо за понимание!
Больше интересных статей здесь: Наука и техника.
Источник статьи: Венерическая трансмиссивная саркома у собаки.